在建筑排水系统日益受到重视的现今,地漏作
“这只眼睛要是再看不见,我的世界就彻底黑了。”51岁的高先生攥着检查单,声音里却带着一丝忐忑和久违的期待。然而,当北京爱尔英智眼科医院谷威院长指着最新检查报告,语气轻快地说:“左眼眼轴增长已得到有效控制,长度回缩了1.04毫米!”时,这位历经磨难的陕西汉子激动得眼眶发红——这1.04毫米的逆转,不仅意味着扼住了失控的病情,更守护住了他赖以生存的唯一光明。
二十年视力劫难:从双眼高度近视到独眼危局
高先生自幼便饱受双眼高度近视之苦。二十年前,双眼视网膜脱离突然来袭,当地医院治疗后,他的右眼永久失明,左眼成为了他连接世界的独木桥。
然而,这只“生命之眼”却接连遭遇劫难:十年前,左眼视力下降,在爱尔英智眼科被诊断为白内障,施行了白内障乳化合并人工晶体植入术,术后视力维持在0.3;六年前,左眼突发玻璃体积血,他再次紧急来到爱尔英智眼科,接受了玻璃体切割和视网膜复位手术,这次保住了0.25的视力。
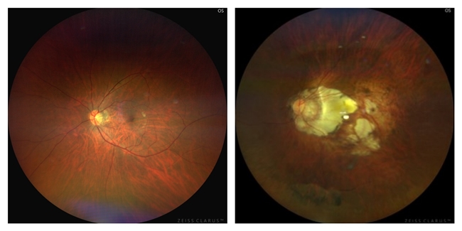
但好景不长。四年前,高先生赴北京爱尔英智眼科复诊,一纸诊断书如惊雷炸响——他被诊断为“后巩膜葡萄肿”,视力仅剩 0.1,眼轴长度突破至惊人的36.71mm(约为正常值24mm的1.53倍),光学相干断层扫描(OCT)显示黄斑区视网膜与脉络膜已严重萎缩变薄,病情危殆。
“后巩膜葡萄肿是高度近视最凶险的并发症之一,”谷威院长解释道,“高度近视患者的眼球随着眼轴增长,就像一只被不断拉长变形的气球,后部巩膜会局部膨出会形成葡萄肿,从而导致视网膜、脉络膜萎缩,黄斑劈裂,黄斑裂孔,视网膜脱离,甚至导致失明。”
后巩膜加固术:筑起独眼世界的 “光明防线”
“对于高先生这种情况,传统治疗已经没办法了,后巩膜加固术是守住光明的最后防线。”谷威院长说道。后巩膜加固术是通过增强眼球后壁强度,阻止眼轴增长,延缓近视度数加深,从而保护眼底组织,是挽救高先生这类严重病变患者的重要手段。
手术台上,一场守护独眼视力的精密战役打响了。深耕高度近视领域近四十年的谷威院长,首先在患者左眼颞下方做了一个精细切口,小心翼翼地分离眼外肌,暴露出眼球后部极度薄弱、向后膨出的巩膜区域——这正是导致视力濒危的“葡萄肿”所在。随后,谷威院长手持精细器械,如同一位技艺精湛的微雕大师,精准地裁剪、塑形巩膜材料,并将这片“异体巩膜”轻柔而稳固地铺展覆盖在膨出的后巩膜表面,确保其与患者自身的巩膜组织紧密贴合,构建起一道“生物堤坝”。

(谷威院长为患者实施手术)
“植入的材料如同给即将吹爆的气球后增加了厚实屏障。”谷威院长阐述原理,“它形成的强力支撑网,目标是在视网膜彻底裂孔前,兜住向后膨出的眼球壁,阻止其进一步扩张,甚至有可能逆转扩张趋势,为残存的视细胞赢得宝贵的喘息空间。”
术后四年:眼轴回缩的奇迹与视力的坚守
术后四年的严密随访,带来了令人振奋的结果:高先生的眼轴增长不仅得到了有效遏制,剩余的视力也得到了很好的维持,四年间纹丝未动。更令人惊喜的是,最新的测量数据显示,他的眼轴长度竟从术前的36.71毫米缩短至35.67毫米,实现了1.04毫米的回缩!“这次手术不仅阻挡了我的眼球病变的扩张,也守住了我的整个生活。”这一结果让高先生激动不已,悬了多年的心终于落了地。
专家提醒:高度近视致盲需终身管理,定期检查是关键
“高度近视,即当近视度数超过600度(眼轴≥26mm)的人群中,白内障、青光眼、视网膜脱离、黄斑病变、后巩膜葡萄肿等致盲性并发症的发生率远于正视人群。”谷威院长严肃指出,“高度近视并非简单的度数高,更意味着眼球结构发生了改变。临床数据显示,高度近视患者的每增长1毫米,近视加深约250-300度,就像吹气球过度会导致球壁变薄一样,眼球壁的视网膜和脉络膜也会随之被牵拉、变薄,从而引发一系列眼底病变。”高先生二十年的抗争,正是许多超高度近视群体的缩影。

(△ 正常眼底与高度近视眼底对比)
“高度近视是需要像糖尿病、高血压一样终身管理的致盲性疾病,”谷威院长郑重警示,“很多高度近视患者觉得‘能看清就行’,忽视眼底检查,等到出现视力骤降、视野缺损等症状时,往往已错过最佳治疗时机。建议高度近视患者应半年至一年进行一次眼底检查,例如眼底照相、光学相干断层扫描(OCT)等,可清晰捕捉眼底细微变化,及时预防并发症的发生和控制病情的发展。”
在建筑排水系统日益受到重视的现今,地漏作
1月21日,2026京东工业合作伙伴大会
大寒之后,孟春可期。2026年1月20日
近日,一场由中国食品药品企业质量安全促进
香港,2026年1月21日——新火科技控
蚂蚁社保个体户托管模式的总费用,主要由以
姑苏城畔,水墨相迎。由“清水混凝土诗人”
在南方潮湿的办公环境中,茶水间作为员工日
人类,始终在流动中前行。在张弛之间感知力
